股関節変形と痛みは必ずしも一致しない

股関節痛の相談の中で、「レントゲンで変形していると言われた」と不安を抱く方は少なくありません。
しかし、臨床研究や疫学データをみると、画像上の変化と症状の強さは必ずしも一致しないことが分かっています。

実際、日本の代表的なコホート研究である「ROAD study(Research on Osteoarthritis Against Disability)」では、その傾向が明確に示されています。


日本の大規模研究:ROAD studyの結果

ROAD studyは全国3地域に在住する40歳以上の男女を対象とした前向き研究で、関節の変形と機能障害との関連を長期的に追跡しています。

2015年に発表された股関節に関する報告では、
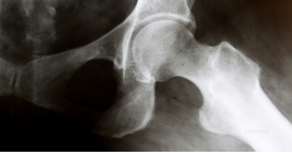
レントゲン上で**軽度の変形(Kellgren–Lawrence分類1〜2)**を認めた人は、
男性で18.2%、女性で14.3%とされました(Nakamura K et al., Osteoarthritis Cartilage, 2015)。

ところが、そのうち実際に股関節痛を訴えた人はごく一部にとどまりました。
すなわち、「レントゲン上は変形があるのに、痛みを感じていない人」が相当数存在するということです。


画像所見と症状が一致しない理由

痛みの発生には骨や軟骨だけでなく、関節包・靭帯・筋・神経といった周辺組織の機能が深く関わっています。
関節の変形が進行しても周囲の組織が十分に安定性と柔軟性を保っていれば、痛みを感じにくい状態が維持されることがあります。

一方でレントゲン上は軽度でも次のような要因が重なると痛みが出やすくなります。

  • 関節包・滑膜の炎症(synovitis)
  • 筋膜・腱付着部の過緊張や線維化
  • 関節内圧の変化による受容器刺激
  • 中枢神経系での痛み感受性亢進(central sensitization)

つまり、痛みは構造的な変化ではなく、機能的な変化によって引き起こされる場合が多いのです。


「痛みの部位」と「原因の部位」は必ずしも同じではない

もう一つ重要なのは痛みを感じる部位と実際の原因組織が一致しないという点です。
股関節周囲では、腰椎や骨盤、さらには膝関節などからの放散痛(referred pain)も少なくありません。

たとえば、腰椎由来の神経根障害では股関節前面や鼠径部に痛みが出ることがあります。
この場合、股関節のレントゲンに変化があっても、それが直接の原因ではない可能性があります。


レントゲンよりも「動作」と「感覚」の評価を重視する

画像診断は重要な手がかりですが、それだけで痛みのメカニズムを説明することはできません。
股関節の動きを支える筋群(腸腰筋・中殿筋・深層外旋筋群など)の機能、
骨盤の回旋や体幹バランス、さらには**深部感覚(proprioception)**の統合が、症状の軽減に大きく関与します。

したがって、保存療法では画像所見にとらわれず、
「どの動きで痛みが出るのか」「どの方向に安定性が失われているのか」といった機能的評価を行うことが不可欠です。


まとめ:画像は一つの情報にすぎない

レントゲンで「変形がある」と言われても、
それがそのまま痛みの原因を意味するわけではありません。
痛みは、関節を取り巻く組織や神経の働き、
さらには脳による痛みの認識の仕方に影響を受けます。

股関節痛の評価では、
構造的変化よりも、機能的・神経的な側面を重視することが、
適切な保存療法や再発予防につながります。